옵션이 많은 진료는 치료를 선택하기 어려워요.

스카이동물메디컬센터 수원점의 다학제적 진료로

안심하고 선택하실 수 있습니다.


간담도 특화진료

소화기 특화진료

호르몬 특화진료

뇌, 척수신경 특화진료

정형관절 특화진료

옵션이 많은 진료는 치료를 선택하기 어려워요.
스카이동물메디컬센터 수원점의 다학제적 진료로
안심하고 선택하실 수 있습니다.

간담도계 폐색 [EHBO]

만성 장병증 [CE]

신부전증

▶ 비뇨기 폐색 질환

부신기능이상 질환

개(강아지) 심장질환

고양이 심장질환

뇌수막염

디스크 질환

십자인대 단열

수원 SKY AMG. 비뇨기계 특화진료

비뇨기 폐색 질환

수원 SKY AMG. 비뇨기계 특화진료

비뇨기 폐색 질환

Q
어떤 반려동물에게서
주로 나타나는 질환인가요?

Q

어떤 반려동물에게서
주로 나타나는 질환인가요? 

비뇨기 폐색(Urinary obstruction)소변이 신장, 요관, 방광, 요도 등 비뇨 기계의 어느 한 부분에서 막혀 정상적으로 배출되지 못하는 상태를 의미합니다. 폐색이 발생하는 위치에 따라 요관 폐색(ureter obstruction)과 요도 폐색(urethral obstruction)으로 구분할 수 있습니다. 개와 고양이 모두에서 결석에 의한 폐색이 흔하게 발생하며, 특히 고양이에서는 방광이나 요도 내 슬러지(찌꺼기)로 인한 요도 폐색의 빈도가 높은 편입니다.

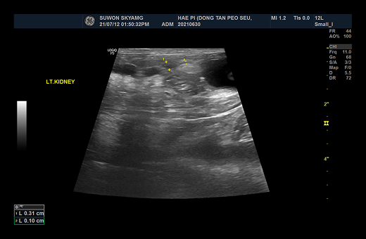
Ureter obstruction

요관 폐색에 의한 신장 질환

개와 고양이 모두에서
요관 폐색(Ureter obstruction)은,
요관 결석(Ureteral calculi)에 의해 발생하는
경우가 가장 흔합니다.

비교적 드물지만, 요로 감염에 따른
이차적인 요관 협착(Ureter stenosis)도
요관 폐색의 원인 중 하나로 분류됩니다. 


요관 폐색의 주요 증상

요관 폐색 자체에 의한 임상 증상은 보이지 않습니다.

이로 인한 이차적인 신부전에 의한
식욕부진, 구토, 체중 감소 등의 임상 증상들 또는
요관 폐색에 동반되어 있는 방광결석, 요도결석 등에 의한 배뇨곤란, 혈뇨, 빈뇨, 소변량 변화 등이
나타날 수 있습니다.

요관 폐색 자체에 의한 임상 증상은 특이적이지
않기 때문에, 위와 같은 신부전이 있는 환자,
방광결석 및 요관 결석 등이 동반되어 있는 환자들에서 혈액검사나 영상 검사를 진행하면서 알게 되는
경우가 많습니다.


Ureter obstruction

요관 폐색에 의한 신장 질환

개와 고양이 모두에서 요관 폐색(Ureter obstruction)은, 요관 결석(Ureteral calculi)에 의해 발생하는 경우가 가장 흔합니다.

비교적 드물지만, 요로 감염에 따른 이차적인 요관 협착(Ureter stenosis)도 요관 폐색의 원인 중 하나로 분류됩니다. 

mobile background

요관 폐색의
주요 증상

요관 폐색 자체에 의한 임상 증상은 보이지 않습니다.

이로 인한 이차적인 신부전에 의한 식욕부진, 구토, 체중 감소 등의 임상 증상들 또는 요관 폐색에 동반되어 있는 방광결석, 요도결석 등에 의한 배뇨곤란, 혈뇨, 빈뇨, 소변량 변화 등이 나타날 수 있습니다. 

요관 폐색 자체에 의한 임상 증상은 특이적이지 않기 때문에, 위와 같은 신부전이 있는 환자, 방광결석 및 요관 결석 등이 동반되어 있는 환자들에서 혈액검사나 영상 검사를 진행하면서 알게 되는 경우가 많습니다. 


수원 스카이동물메디컬센터의

다학제적 치료방향


진단 방법

진단 방법

1-1 1-2

요관 확장으로 인해 SUB 수술적 치료 진행

2-1 2-2

요관 내에 결석 여러 개 관찰된 모습

요관 폐색은 폐색 정도에 따라 신장의 손상이 얼마만큼 진행되었는지 차이를 보일 수 있습니다.

요관 폐색에 의한 신부전이 발생하게 되면, 혈액검사상에서 신장 관련 지표(BUN, 크레아티닌, SDMA) 가 상승 할 수 있으며, 이외에 이차적인 염증반응이 동반된 경우 백혈구 증가, 더불어 강아지에서 CRP, 고양이에서 SAA 등과 같은 염증 지표 상승이 확인될 수 있습니다. 

영상 진단

요관 폐색에는 영상 진단이 중요합니다

영상 진단

요관 폐색의 진단에 있어서 가장 중요한 검사는 방사선, 초음파, CT 검사 등의 영상 진단입니다. 


   · 방사선 검사

방사선 검사는 방사선 상에서 확인될 수 있는 결석의 개괄적인 위치 파악에 있어 중요하게 작용합니다. 방사선 상 명확하게 보이는 결석 또는 이차적인 신장의 비대 소견이 확인되게 되면, 실제 신장 및 요관에서 발생한 형태 변화를 확인하기 위해 초음파 검사를 진행하게 됩니다. 


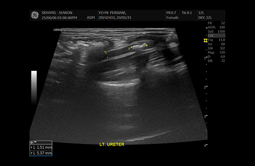
   · 초음파 검사

초음파 검사를 통해서 요관의 확장 정도와, 결석의 위치 등에 대한 정보를 확인하게 되며, 이로 인한 폐색에 따른 신우 확장 정도를 평가하게 됩니다. 신우 확장이 명확하고, 결석의 위치 정보 등이 확인되면, 수술적인 치료를 통한 폐색의 해소를 목표하게 됩니다. 


   · CT 촬영

방사선 상 보이지 않는 결석, 또는 다른 장기로 인해 초음파 상 평가가 불명확할 경우 CT 촬영을 통해 폐색 위치를 확인하게 됩니다. 일괄적인 진단 방법이 있기 보다는 단계적 평가를 통해 필요한 정보를 파악하게 되며 이에 대한 영상진단의의 진단이 치료 계획에 중요하게 작용하게 됩니다. 


치료 방법

치료 방법

피하요관우회술

Subcutaneous Ureteral Bypass, SUB

요관 폐색의 경우 폐색으로 인해 신우(신장의 깔때기) 부위가 확장되게 되면 해당 부분과 방광을 연결하는 피하요관우회술(Subcutaneous Ureteral Bypass, SUB)이 가장 일반적인 수술 방법입니다. 

SUB 수술법이 개발되기 전에는 요관 내 결석을 직접 제거하는 수술 혹은 요관 내 스텐트를 장착하는 수술이 진행되었으나, 이러한 치료 방법들은 협착에 의한 합병증 가능성이 높고, 스텐트의 제거 교체 등이 불가능하여, 최근에는 지양되고 있습니다. 

1-1 1-2
1-1 1-2

요관 폐색으로 인해 SUB 수술적 치료 진행 


피하요관우회술이란?

신장과 방광에 각각 카테터(관)을 삽입하고, 이 두 카테터를 피하(피부 아래)에 위치한 작은 포트(장치)로 연결합니다. 이 포트를 통해 신장의 소변이 방광으로 직접 유입되며, 막힌 요관을 우회하게 됩니다.

전통적인 요관 수술 방법에 비해 합병증과 사망률이 낮고, 수술 후 관리가 비교적 간편합니다. 특히 수술 후 주기적으로 포트를 통해 소변 배출 상태를 확인하거나, 소변 채취 및 세척이 가능하여 장기 관리면에서도 기존 수술 방법과 비교하여 우수한 수술 방법입니다. 


요관 폐색이 있으면, 수술이 무조건 가능한가요?

피하요관우회술에도 한계는 있습니다. 요관 결석이 있으나, 신우 확장이 미약한 환자의 경우 수술적으로 카테터 진입에 어려움이 있어 수술의 난이도가 높아지게 되고, 카테터가 원하는 위치에 설치 되지 못하여 정상적인 우회로의 기능을 수행하지 못할 수 있습니다.

또한, 비뇨기 감염으로 인한 농신증이 있거나 신우신염이 발생한 환자의 경우, 임플란트 설치 후 감염이 지속되거나 복강으로 감염이 파급될 위험이 있어 신중한 결정이 필요할 수 있습니다.


치료 예후

치료 반응과 예후에 맞춘
지속 관리가 필요합니다.

치료 예후


   · 초기 치료 반응 평가

피하요관우회술(Subcutaneous Ureteral Bypass, SUB) 이후 장기적인 예후 평가에 있어 초기 치료 반응이 중요하게 평가됩니다. 수술 후 우회 요관을 통해 뇨가 원활하게 방광으로 이동하게 되면, 확장되어 있던 신장의 신우 부위가 감소하게 되며, 이차적인 신장 실질의 압력이 감소합니다.


   · 영상 및 혈액 수치 확인

이에 따라 영상검사 상에서는 신우의 확장 정도의 개선 여부가 중요하게 평가되고, 혈액검사상에서는 신장 수치의 감소가 중요한 지표로 평가됩니다.


   · 회복기 이후 신부전 관리

그러나 수술을 통한 개통성 확보 이후에도 신장 수치의 개선이 보이지 않을 경우, 이미 폐색으로 인한 신장의 손상이 심한 상태로 해당 신장의 기능이 매우 감소되어 말기 신부전 상태가 이어진다면, 예후가 불량할 가능성이 높아집니다.


   · 예후 불량 가능성과 주의점

수술 후 회복기를 거쳐 신장 수치가 안정되기 시작하면, 일반적인 신부전에 준하는 관리를 이어가게 되며, 주기적인 SUB 관리를 통해 합병증 예방으로 초점이 맞춰집니다.


   · 기저 원인과 감염의 지속적 관리

급성기의 회복을 잘 거쳐 상태가 호전된 후에도 지속적인 평가 및 관리가 중요하며, 피하요관우회술(Subcutaneous Ureteral Bypass, SUB) 이후에도 환자의 기저 결석 발생 원인, 비뇨기 감염 등의 관리가 충분하지 못하다면, 언제든 수술 전과 유사한 상황이 발생할 수 있어 꾸준한 관리가 중요한 질병입니다. 


스카이동물메디컬센터

수원점이 특별한 이유 


24시간 진료 / 응급 수술

대표전화 031-895-5775