옵션이 많은 진료는 치료를 선택하기 어려워요.
스카이동물메디컬센터 수원점의 다학제적 진료로
안심하고 선택하실 수 있습니다.

간담도계 폐색 [EHBO]

만성 장병증 [CE]

신부전증

▶ 비뇨기 폐색 질환

부신기능이상 질환

개(강아지) 심장질환

고양이 심장질환

뇌수막염

디스크 질환

십자인대 단열

수원 SKY AMG. 비뇨기계 특화진료

비뇨기 폐색 질환

옵션이 많은 진료는 치료를 선택하기 어려워요.

스카이동물메디컬센터 수원점의 다학제적 진료로

안심하고 선택하실 수 있습니다.


간담도 특화진료

소화기 특화진료

호르몬 특화진료

뇌, 척수신경 특화진료

정형관절 특화진료

수원 SKY AMG. 비뇨기계 특화진료

비뇨기 폐색 질환

Q
어떤 반려동물에게서
주로 나타나는 질환인가요?

Q

어떤 반려동물에게서
주로 나타나는 질환인가요? 

비뇨기 폐색(Urinary obstruction)은 소변이 신장, 요관, 방광, 요도 등 비뇨 기계의 어느 한 부분에서 막혀 정상적으로 배출되지 못하는 상태를 의미합니다. 폐색이 발생하는 위치에 따라 요관 폐색(ureter obstruction)과 요도 폐색(urethral obstruction)으로 구분할 수 있습니다. 개와 고양이 모두에서 결석에 의한 폐색이 흔하게 발생하며, 특히 고양이에서는 방광이나 요도 내 슬러지(찌꺼기)로 인한 요도 폐색의 빈도가 높은 편입니다

Urethral obstruction

요도 폐색에 의한 신장 질환

개와 고양이에서 
요도 폐색(Urethral obstruction)의 원인은
다소 차이가 있으나,
수컷에서 발생률이 높다는 공통점이 있습니다.


개의 요도 폐색

강아지에서는 일반적으로
요로결석(Urolithiasis)에 의한 폐색이 가장 흔하며,"적은 경우에서는 전립선 질환, 방광 종양 등에
의한 폐색 등이 나타날 수 있습니다.

일반적으로 방광 결석이 요관을 통해 배출 되다가
생식기에서 배출되지 못하고 걸려 버리는 상황
요도 폐색의 가장 흔한 원인입니다.
강아지는 생식기 내 요도 주변으로 뼈구조물이 있어, 결석이 뼈구조물 보다 큰경우 배출되지 못하는데,
이로 인해 폐색을 유발하게 됩니다.

개에게서 요도가 폐색이 나타나면 배뇨 곤란으로 인해 자주 소량씩 배뇨를 하는 양상이 보일 수 있고,
결석에 의해 요도가 상처를 받게 되면 이로 인해
출혈이 발생할 수 있습니다.
이러한 출혈은 선혈이 나오기 보다는
오줌에 핏기가 돌거나 소량의 배뇨 후 한 두 방울의
선혈이 확인되는 경우가 많습니다.


고양이의 요도 폐색

고양이에서 요도 폐색(Urethral obstruction)은
강아지의 결석에 의한 요도 폐색과는
다소 차이가 있습니다.


고양이, 특히 수컷 고양이에서 발생하는 요도 폐색은
고양이 하부요로계 질환(FLUTD, Feline Lower Urinary Tract Disease)의 한 유형으로 분류되며,
결석 외에도
점액이나 방광에서 나온 세포 덩어리,
미네랄이 혼합된 요도 플러그
등이
폐색의 원인이 될 수 있습니다.
수컷 고양이의 경우 요도가 길고 좁아 폐색이 더 쉽게 발생하며, 방광염, 요도 플러그(슬러지, 세포, 결정의 혼합물), 스트레스 등 다양한 원인이 관여합니다.

고양이의
배뇨가 원활하지 못하여 발생하는 증상
보일 수 있습니다. 빈뇨 및 배뇨 자세를 반복적으로
취하거나 소량의 혈뇨를 동반하기도 합니다.


Urethral obstruction

요도 폐색에 의한 신장 질환

개와 고양이에서 요도 폐색(Urethral obstruction)의 원인은 다소 차이가 있으나, 수컷에서 발생률이 높다는 공통점이 있습니다.

mobile background

의 요도 폐색

강아지에서는 일반적으로 요로결석(Urolithiasis)에 의한 폐색이 가장 흔하며,
적은 경우에서는 전립선 질환, 방광 종양 등에 의한 폐색 등이 
나타날 수 있습니다.

일반적으로 방광 결석이 요관을 통해 배출 되다가 생식기에서 배출되지 못하고 걸려 버리는 상황이 요도 폐색의 가장 흔한 원인입니다. 강아지는 생식기 내 요도 주변으로 뼈구조물이 있어, 결석이 뼈구조물 보다 큰경우 배출되지 못하는데, 이로 인해 폐색을 유발하게 됩니다.

개에게서 요도가 폐색이 나타나면 배뇨 곤란으로 인해 자주 소량씩 배뇨를 하는 양상이 보일 수 있고, 결석에 의해 요도가 상처를 받게 되면 이로 인해 출혈이 발생할 수 있습니다. 이러한 출혈은 선혈이 나오기 보다는 오줌에 핏기가 돌거나 소량의 배뇨 후 한 두 방울의 선혈이 확인되는 경우가 많습니다.


고양이의 요도 폐색

고양이에서 요도 폐색(Urethral obstruction)은
강아지의 결석에 의한 요도 폐색과는 다소 차이가 있습니다.

고양이, 특히 수컷 고양이에서 발생하는 요도 폐색은 고양이 하부요로계 질환(FLUTD, Feline Lower Urinary Tract Disease)의 한 유형으로 분류되며, 결석 외에도 점액이나 방광에서 나온 세포 덩어리, 미네랄이 혼합된 요도 플러그 등이 폐색의 원인이 될 수 있습니다. 수컷 고양이의 경우 요도가 길고 좁아 폐색이 더 쉽게 발생하며, 방광염, 요도 플러그(슬러지, 세포, 결정의 혼합물), 스트레스 등 다양한 원인이 관여합니다.

고양이의 배뇨가 원활하지 못하여 발생하는 증상을 보일 수 있습니다. 빈뇨 및 배뇨 자세를 반복적으로 취하거나 소량의 혈뇨를 동반하기도 합니다. 


수원 스카이동물메디컬센터의

다학제적 치료방향


요로결석 진단과 치료

요로결석
진단과 치료

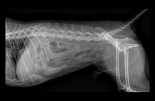
1) 강아지에서 요로결석으로 인한 진단방법

음경 요도(penile urethra)에 걸린 결석 1

음경 요도(penile urethra)에 걸린 결석 2


   · 방사선 검사

배뇨 곤란으로 내원하게 되면 일반적으로 방사선 검사가 가장 우선시 되게 됩니다.

방사선 검사에서는 결석이 어느 위치에 분포되어 있는지, 폐색으로 인한 방광 확장 정도가 어느 정도인지 등을 우선적으로 평가합니다.


   · 초음파 검사

방사선 검사 후, 방광 내부 상태와 요관 상태를 보다 정밀하게 확인하기 위해 초음파 검사 등이 추가로 진행될 수 있습니다.


2) 강아지 요로결석 치료 방법


   · 역행성 요도 수압법

요도 내 결석은 배출시킬 수 없기 때문에 요도에 식염수를 주입하는 형태의 역행성 요도 수압법 (Retrograde Hydropropulsion) 시술을 통해 결석을 방광으로 이동 시키게 됩니다.

높은 확률로 결석은 방광으로 이동하게 되고, 이후 과정은 방광 결석에 준하는 관리 또는 수술 방법으로 치료를 이어가게 됩니다. 


   · 요도 카테터 및 수술

한번 요도를 폐색시켰던 결석은 단 기간 내에 (수분 및 몇시간 이내에도) 다시 요도를 막을 확률이 높기 때문에 일반적으로 요도 카테터 장착 이후 방광 결석 수술을 진행하게 됩니다. 


배뇨 곤란 진단과 치료

배뇨 곤란
진단과 치료

1) 고양이에서 배뇨 곤란으로 인한 진단방법


   · 방사선 및 초음파 검사

대부분의 경우 배뇨 곤란으로 인해 병원으로 내원할 때는 방광이 매우 팽창 되어 있고, 내부의 슬러지가 많은 경우 내원하게 되며, 방사선 검사 및 초음파 검사를 통해 결석 유무 체크 방광 상태 및 슬러지의 분포 정도를 평가하게 됩니다. 


2) 고양이 배뇨 곤란 치료 방법 (FLUTD)

치료 예후

폐색은 신속히 처치하고,
반복 시 수술을 고려합니다.

치료 예후


   · 반복 폐색 시 고려되는 외과적 치료

LUTD(고양이 하부요로질환)는 반복적으로 발생하는 경우가 많으며, 폐색 시간이 길어질수록 급성 신부전 등으로 악화될 수 있기 때문에 배뇨 곤란이 발생한 경우 신속한 처치가 필요합니다. 반복적으로 요도가 막히는 고양이의 경우, 요도루조성술(Perineal urethrostomy)이라는 수술적 치료가 고려됩니다.


   · 요도루조성술 치료방법

요도루조성술은 요도의 좁고 긴 부위를 제거하고, 회음부(음낭과 항문 사이)에 위치한 넓은 요도 부위를 피부와 직접 연결하여 소변이 자유롭게 배출될 수 있도록 만들어 주는 수술입니다.

소변 내 찌꺼기나 플러그에 의한 재발성 폐색을 크게 줄일 수 있으며, 기존의 비뇨증상과 응급상황을 예방하는 데 도움이 됩니다. 


   · 수술 후 관리

수술 이후에도 감염 및 협착 예방을 위한 주기적인 관리가 필요합니다.


스카이동물메디컬센터

수원점이 특별한 이유 


24시간 진료 / 응급 수술

대표전화 031-895-5775