옵션이 많은 진료는 치료를 선택하기 어려워요.
스카이동물메디컬센터 수원점의 다학제적 진료로
안심하고 선택하실 수 있습니다.

간담도계 폐색 [EHBO]

만성 장병증 [CE]

신부전증

비뇨기 폐색 질환

▶ 부신기능이상 질환

개(강아지) 심장질환

고양이 심장질환

뇌수막염

디스크 질환

십자인대 단열

수원 SKY AMG. 호르몬 특화진료

부신기능이상 질환
(쿠싱증후군)

옵션이 많은 진료는 치료를 선택하기 어려워요.

스카이동물메디컬센터 수원점의 다학제적 진료로

안심하고 선택하실 수 있습니다.


간담도 특화진료

소화기 특화진료

호르몬 특화진료

뇌, 척수신경 특화진료

정형관절 특화진료

수원 SKY AMG. 호르몬 특화진료

부신기능이상 질환 (쿠싱증후군)

Q
어떤 반려동물에게서
주로 나타나는 질환인가요?

Q

어떤 반려동물에게서
주로 나타나는 질환인가요?

강아지 쿠싱증후군(Cushing syndrome : 부신피질기능항진증)은 부신이라고 하는 장기의 피질에서 분비되는 스테로이드 호르몬인 코티솔이 과다하게 분비되어 발생하는 강아지의 대표적인 내분비 질환입니다.  코티솔(Cortisol)은 부신에서 분비되는 호르몬으로, 몸이 스트레스에 대처하고 대사와 면역 기능을 조절하는데 꼭 필요한 호르몬이지만, 너무 많아지면 여러 문제가 발생할 수 있습니다.

Q
쿠싱증후군이 나타나는
주요 원인이 궁금해요!

Q

쿠싱증후군이 나타나는
주요 원인이 궁금해요!

쿠싱증후군의 원인은 부신을 자극하는 1) 뇌하수체의 원인, 2) 부신 자체의 원인, 3) 의인성 등으로 분류됩니다.

1) 쿠싱증후군의 약 85-90%는 뇌하수체 의존성으로 부신피질자극호르몬(ACTH)을 과도하게 분비하는 뇌하수체 종양에 의해 발생합니다. 부신피질자극호르몬(ACTH)은 부신을 자극하여 코티솔이 과도하게 분비되도록 하는데 부신에서 분비된 과도한 코티솔로 인해 쿠싱증후군이 발생합니다. 이러한 기전의 쿠싱증후군은 뇌하수체 의존성 부신피질기능항진증(PDH)이라고 합니다.

2) 쿠싱증후군의 약 10-15% 수준은 부신 자체에서 발생한 선종 또는 암종에 의해 직접적으로 코티솔의 분비가 증가하는 경우로, 부신 종양에 의해 발생한 쿠싱증후군입니다.

3) 이외에 장기간 스테로이드를 복용, 투약 받는 환자에서 발생하는 쿠싱증후군을 의인성 쿠싱증후군으로 분류하게 됩니다.

mobile background

쿠싱증후군,
나타나는 주요 증상

mobile background

쿠싱증후군, 나타나는 주요 증상

수원 스카이동물메디컬센터의

다학제적 치료방향


진단 방법

임상 증상과 단계별 검사를 통해
쿠싱증후군을 진단합니다.

진단 방법


   · 의심 단계: 임상 증상 평가

임상 증상을 바탕으로 쿠싱증후군이 의심될 경우, 혈액검사를 통한 평가를 진행합니다.


   · 기본 혈액검사, 소변검사

혈액화학검사에서 간수치(특히 ALP, ALT) 상승이 주로 확인됩니다. 또한 콜레스테롤, 중성지방 증가, 뇨비중 감소, 혈당 증가가 동반될 수 있으며, 이 과정에서 당뇨병이 함께 진단되기도 합니다.


   · 주요 확진 검사 종류

쿠싱증후군의 확인 검사는 크게 ACTH, LDDST, HDDST 등을 진행하게 되는데, 1차적 진단을 위해서 ACTH 및 LDDST 검사 등이 많이 활용됩니다.


   · ACTH 자극 검사

ACTH는 Cushing의 80-85% 정도를 검출할 수 있는 것으로 알려져 있으며, 1시간 정도의 짧은 검사 시간으로 초기 진단에 많이 활용 되고 있습니다. 


   · LDDST 검사

LDDST 검사는 Cushing의 90-95%를 검출할 수 있는 민감도가 높은 검사이며, 특히 PDH 의존성쿠싱에서는 거의 100%에 가까운 민감도를 보입니다. 또한 검사 결과 해성을 통해 뇌하수체 의존성(PDH)와 부신의존성(ADH) 의 어느정도 구분할 수 있는 장점이 있습니다. 그러나 검사 시간이 8시간 정도로 길다는 단점과 의인성 쿠싱 진단에는 적합하지 않은 단점이 있습니다. 


이에 따라 실제 임상에서는 ACTH 검사를 통해 Screening 검사를 진행하고 임상 증상이 뚜렷한 반면 ACTH 검사 상 모호할 경우 LDDST 검사를 진행하게 되는 경우가 많습니다.


영상 진단

수원 SKY동물메디컬센터 영상의학센터는
이렇게 쿠싱증후군을 진단합니다.

영상 진


   · 영상 진단

쿠싱증후군을 진단하는데 있어 영상진단 검사 역시 중요한 역할을 하게 됩니다.
영상 검사 결과들을 종합적으로 판단하여 이후 치료 과정을 진행하게 됩니다. 


   · 엑스레이(X-ray) 검사

간 비대 소견과 지방 분포를 확인합니다.


   · 초음파 검사

간 실질의 변성과 비대 정도를 평가하고, 쿠싱 질환이 있는 환자에서 호발하는 담낭 병변, 부신의 크기와 형태, 부신 비대, 형태적인 변화, 종양성 변화를 확인합니다.


   · CT 검사

초음파 검사 결과에서 종양성 병변의 가능성이 높을 경우,
수술적인 치료 방법을 선택하기 위해 CT 촬영을 진행할 수 있습니다. 


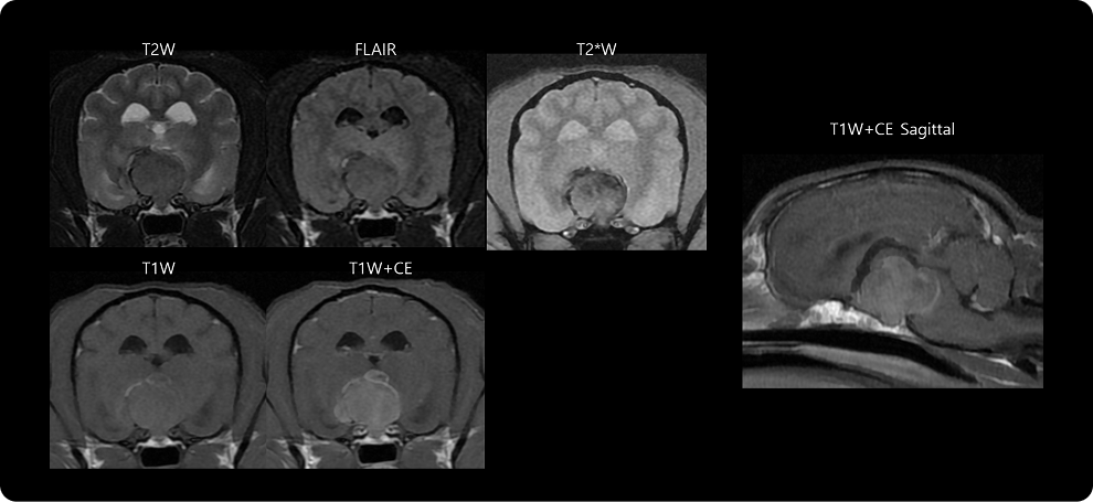
   · 뇌 MRI 검사

신경계 증상이 동반된 경우, 시상하부의 종양성 변화 여부를 확인합니다.


치료 방법

내과·외과적 치료를 병행하며,
장기적인 관리로 예후를 개선합니다.

치료 방법

mobile background

보호자께 드리는 중요한 말씀!


치료 과정에서 보호자님이 아셔야 할 질환 용어
[ 에디슨 신드롬(Addison’s disease) ]


강아지 에디슨 신드롬(Addison’s disease)은 부신피질기능저하증(Hypoadrenocorticism)이라고도 불리며,
부신에서 분비되는 중요한 호르몬(코티솔, 알도스테론)이 부족하여 나타나는 만성 질환입니다. 

에디슨 신드롬의 증상은 대표적으로 기력저하, 식욕부진, 체중감소 등의 전신적인 활력 감소가 나타날 수 있으며,
심한 경우 구토, 설사 이후로 이어지는 탈수, 쇼크, 저체온, 저혈압, 근육경련이나 마비증상까지 급격하게 나빠질 수 있습니다.
이러한 중증의 상태를 Addison crisis라 칭합니다.

내원 시 혈액검사를 진행하게 되면 전해질 불균형(저나트륨 혈증, 고칼륨혈증, 저 클로라이드혈증) 등이 나타날 수 있으며, 저혈당이 동반될 수 있습니다. 

일반적으로 심등도의 전해질 문제가 확인되면, ACTH 자극 검사를 통해, 에디슨병을 확진하게 됩니다.


에디슨 신드롬, 보호자께 말씀드립니다.


대부분의 환자에서 임상 증상은 서서히 진행되기 때문에 병원으로 내원 시 Addison crisis 상태로 내원하게 되며, 응급치료를 선행하게 됩니다.

전반적인 혈액검사를 통해 동반될 수 있는 상태(전해질 불균형, 저혈당) 에 대한 응급처치를 진행하게 되며,
ACTH 자극 검사를 통해 Addison disease로 확진되게 되면, 이에 대한 처치가 추가되게 됩니다.

유지 치료는 급성기를 지나 상황이 호전되고 나면 유지 관리를 위한 치료로 전환됩니다. 
이러한 치료 방향에 대해서는 크게 두 가지 방향성이 제시됩니다. (약물 투약 고려)

환자마다 약물에 대한 반응이 다를 수 있기 때문에 약물 처방을 진행하면서 치료 방식의 전환이 있을 수 있습니다.
검사 결과 외에 보호자분께서 느끼는 환자의 활력 상태 등에 대한 정보 역시 중요한 질환으로 환자의 관리에 있어
보호자님과 의료진의 방향 설정에 따라 선택은 다양해질 수 있습니다.

스카이동물메디컬센터

수원점이 특별한 이유 


24시간 진료 / 응급 수술

대표전화 031-895-5775