옵션이 많은 진료는 치료를 선택하기 어려워요.
스카이동물메디컬센터 수원점의 다학제적 진료로
안심하고 선택하실 수 있습니다.

간담도계 폐색 [EHBO]

만성 장병증 [CE]

신부전증

비뇨기 폐색 질환

부신기능이상 질환

▶ 개(강아지) 심장질환

고양이 심장질환

뇌수막염

디스크 질환

십자인대 단열

수원 SKY AMG. 순환기 특화진료

개(강아지) 심장질환 

옵션이 많은 진료는 치료를 선택하기 어려워요.

스카이동물메디컬센터 수원점의 다학제적 진료로

안심하고 선택하실 수 있습니다.


간담도 특화진료

소화기 특화진료

호르몬 특화진료

뇌, 척수신경 특화진료

정형관절 특화진료

수원 SKY AMG. 순환기 특화진료

개(강아지) 심장질환

Q
어떤 반려동물에게서
주로 나타나는 질환인가요?

Q

어떤 반려동물에게서
주로 나타나는 질환인가요? 

대부분의 노령견에서 겪게 되는 두가지 중요한 심장질환, 이첨판막변성증(MMVD)과 폐동맥고혈압(PH) 등에 대해서 알아보고자 합니다. 두 가지 질병 모두 강아지의 심장 건강에 큰 영향을 미치게 되며, 노령견 특히 소형견종에서 자주 발생하기 때문에 소형견이 많이 분포하는 국내에서 많은 강아지들이 겪게 되는 질환 중 하나입니다. 

Pulmonary hypertension

폐동맥 고혈압(PH)에 대하여

강아지 폐동맥 고혈압(Pulmonary hyperensio, PH)은 심장에서 폐로 혈액을 보내는 폐동맥의 압력이
비정상적으로 상승되는 질환입니다.

이로 인해 폐로 혈액이 원활하게 공급되지 못하고,
심장(특히 우심실)에 큰 부담이 가해지며,
시간이 흐를수록 심장기능이 저하되고 심부전으로
인한 기절 증상, 흉수, 복수 등이 발생할 수 있는
질환입니다.


폐동맥 고혈압이
나타나는 주요 원인

폐동맥 고혈압은 어린 강아지에서
선천적 심장 기형에 의해 발생할 수 있으
 대부분 심장사상충 또는 노령견에서 만성 호홉기 질환, 좌심질환등에 의해 발생하게 됩니다. 

1. 심장사상충 감염
2. 만성폐질환 (노령견에서 만성 폐질환, 만성 호흡기 질환)
3. 이첨판막질환 등에 의한 좌심부전


Pulmonary hypertension

폐동맥 고혈압(PH)에 대하여

강아지 폐동맥 고혈압(Pulmonary hyperensio, PH)은 심장에서 폐로 혈액을 보내는 폐동맥의 압력이 비정상적으로 상승되는 질환입니다.
이로 인해 폐로 혈액이 원활하게 공급되지 못하고, 심장(특히 우심실)에 큰 부담이 가해지며,
시간이 흐를수록 심장기능이 저하되고 심부전으로 인한 기절 증상, 흉수, 복수 등이 발생할 수 있는 질환입니다. 

mobile background
mobile background

폐동맥 고혈압,
나타나는 주요 증상

mobile background

폐동맥 고혈압, 나타나는 주요 증상

수원 스카이동물메디컬센터의

다학제적 치료방향


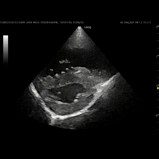
영상 진단

영상 진단

폐동맥 고혈압은 주로 엑스레이, 심장 초음파 검사 등 영상검사를 통해 평가하게 됩니다.

엑스레이 상의 기관지, 폐 실질 등 폐에 대한 평가와 더불어 심장의 외관상의 크기 형태 등의 평가를 병행하게 됩니다. 앞서 언급을 드린 것처럼 폐동맥 고혈압은 폐 질환에 이차적인 경우가 많기 때문에 엑스레이를 통한 폐의 기능을 평가하는 것이 중요합니다. 그 외에도 폐동맥 고혈압의 원인이 될수 있는 심장사상충에 대한 키트 검사도 병행하게 됩니다.

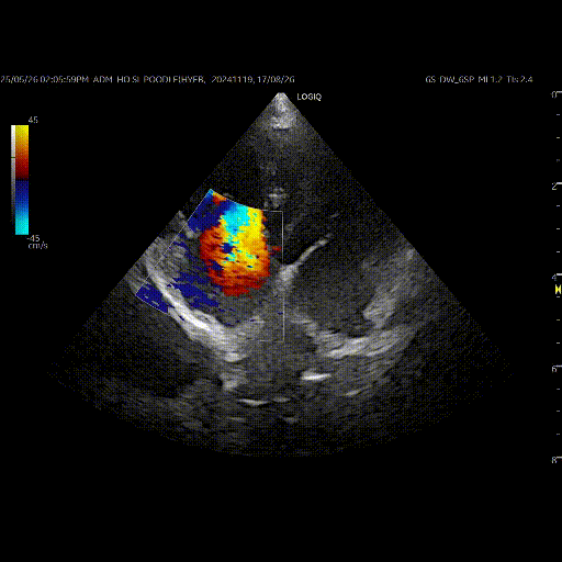
폐동맥 고혈압의 정도와 단계에 대한 평가는 주로 심장 초음파 검사를 진행합니다.

폐동맥에서 우심실 쪽으로 발생하는 역류 여부, 우심실에서 우심방으로 역류되는 혈류 등의 평가를 통해 폐동맥 고혈압의 단계를 추정하게 됩니다.

*자료 출처 : https://www.lecturio.com/concepts/tricuspid-regurgitation

치료 방법

원인 치료와 증상 완화를 병행해
폐동맥 고혈압을 관리합니다.

치료 방법

폐동맥 고혈압의 치료는 1) 원인 질환의 치료, 2) 증상 완화를 목적으로 진행하게 됩니다.


   · 원인 질환 치료

대표적으로 문제가 될 수 있는 심장사상충의 감염 여부에 따른 치료 여부를 결정하게 되며, 이외의 폐렴, 만성 폐질환 등의 원인 질환이 있다면 우선적으로 치료를 진행하게 됩니다.


   · 약물 치료

일반적으로 폐동맥 고혈압의 치료의 기반이 되는 약물은 실데나필과 같은 폐동맥 혈관 확장제가 선택되는 경우가 많습니다. 이 외에도 이뇨제, 심장 강화제 등이 증상 완화와 심장 부담을 줄이기 위해 선택됩니다.


   · 산소 치료

기절 증상이 심하거나, 호흡곤란등의 증상이 있는 환자의 경우 산소 치료를 병행하게 되고, 발생 빈도가 높은 환자의 경우 가정 내 산소발생장치 등의 구비는 증상완화 혹은 응급 상황에 도움이 될 수 있습니다.


치료 예후

주기적 평가와 관리로 상태를
개선하고 유지합니다.

치료 예후

폐동맥 고혈압이 증상적으로 문제가 발생하는 경우에는 대부분 중증의 상태로 진단되는 경우가 많습니다.

이러한 폐동맥 고혈압은 폐질환에 의해 이차적으로 발생하는 경우가 많고, 노령견의 폐질환은 난치성 질환인 경우들이 많기 때문에 증상과 폐 상태에 따른 처방과 폐동맥 고혈압에 대한 주기적인 평가와 약물 관리를 통해 상태 개선 및 유지를 목표로 치료를 진행하게 됩니다. 또 강아지들의 활동에 따라 증상이 악화될 수 있어 수의사와 보호자와의 긴밀한 협조가 환자 상태 유지에 매우 중요합니다. 

스카이동물메디컬센터

수원점이 특별한 이유 


24시간 진료 / 응급 수술

대표전화 031-895-5775