옵션이 많은 진료는 치료를 선택하기 어려워요.
스카이동물메디컬센터 수원점의 다학제적 진료로
안심하고 선택하실 수 있습니다.

간담도계 폐색 [EHBO]

만성 장병증 [CE]

신부전증

비뇨기 폐색 질환

부신기능이상 질환

개(강아지) 심장질환

▶ 고양이 심장질환

뇌수막염

디스크 질환

십자인대 단열

수원 SKY AMG. 순환기 특화진료

고양이 심장질환 

옵션이 많은 진료는 치료를 선택하기 어려워요.

스카이동물메디컬센터 수원점의 다학제적 진료로

안심하고 선택하실 수 있습니다.


간담도 특화진료

소화기 특화진료

호르몬 특화진료

뇌, 척수신경 특화진료

정형관절 특화진료

수원 SKY AMG. 순환기 특화진료

고양이 심장질환

Q
어떤 반려동물에게서
주로 나타나는 질환인가요?

Q

어떤 반려동물에게서
주로 나타나는 질환인가요? 

고양이의 심근질환(Myocardial disease of cat)으로 대표되는 심장질환은 심장 근육(심근)에 이상이 발생하여 심장 기능이 저하되는 질환을 총칭합니다. 고양이 심근질환은 강아지에서 판막질환이 대다수를 차지하는 것처럼, 고양이에서 대다수의 심장질환을 대표하는 질환입니다. 형태적인 분류를 통해 세부 분류로 나뉘어 집니다. 이러한 형태적인 분류는 ACVIM(미국수의내과학회)의 가이드에 따라 분류하고 있으며, 진단과 치료, 예후 평가 등에 활용하고 있습니다.

Q
고양이 심근병증의
세부 분류에 대하여

Q

고양이 심근병증의
세부 분류에 대하여

비대성 심근증(Hypertrophic cardiomyopathy, HCM)이 가장 대표적인 고양이 심근질환으로 불립니다. 그 외에도 RCM, DCM, ARVC, LVNC(좌심실 이압축 심근병증) 등이 있으며, 어느 형태에도 명확하게 속하지 않거나, 여러 형태가 혼합된 경우는 UCM(Unclassified cardiomyopathy)로 분류하고 있습니다.


비대성 심근병증
Hypertrophic Cardiomyopathy, HCM

좌심실 벽이 전반적 혹은 국소적으로 두꺼워진 상태를 이야기합니다. 

고양이에서 가장 흔하게 진단되는 심근질환으로 심장(특히 좌심실)의 벽이 두꺼워져 심실 내강이 좁아지고 질병의 진행에 따라 이차적인 좌심방 확장이 동반됩니다. 이로 인해 심장 기능이 저하되고, 혈전/심부전/급사의 위험이 발생하게 되는 질환입니다.


제한성 심근병증
Restrictive Cardiomyopathy, RCM

HCM과 다르게, 심실 벽의 두께는 정상 범위 내로 측정되나, 심내막(심장의 내막) 및 심근의 섬유화 등으로 인해 심실이 적절하게 이완되지 못하는 상태를 의미합니다. 

이러한 RCM에서는 심내막의 섬유화로 인해 좌심실이 뻣뻣해지고, 이로 인해 심실로 수용되지 못한 혈류가 좌심방에 저류 되면서 심장이 확장되는 양상이 특징입니다. 이 질병의 초기에는 수축 기능은 거의 정상이거나, 질병이 진행될수록 수축 능력이 감소될 수 있습니다.


확장성 심근병증
Dilated cardiomyopathy, DCM

심실 벽이 얇아지고 심장 내강이 확장되며, 수축 기능이 저하되는 질환입니다. 

아주 오래전 고양이에서 흔하게 발생하는 질병이었으나, 타우린(Taurine) 결핍이 이 질환의 대표적인 원인이라는 것이 밝혀지면서 모든 고양이 사료에 이 타우린이 첨가되기 시작했습니다. 이후로는 아주 드물게 발생하는 질환으로 실제 진단되는 경우는 거의 없습니다.


부정맥성 유발성 우심실 심근병증
Arrhythmogenic Right Ventricular Cardiomyopathy, ARVC

우심실 벽에 지방 침착 및 섬유화가 일어나면서 비정상적으로 위축되는 질환으로, 우심부전의 증상을 유발하게 됩니다.

심전도 상에서 부정맥이 관찰되고, 심장 초음파 검사 상에서는 특징적인 우심방과 우심실의 확장, 삼첨판 역류 및 우심실 벽의 운동 저하가 특징입니다.


좌심실 비압축 심근병증
LVNC

좌심실 심근이 정상적으로 압축 되지 않아, 내막 쪽에 두드러진 섬유주와 같은 함몰이 남아있는 형태입니다.

해당 질환은 고양이에서 매우 드물고 증례 보고 자체도 적게 보고 되어 있는 희귀 질환에 해당합니다.


mobile background

고양이 심근병증,
나타나는 주요 증상

mobile background

고양이 심근병증, 나타나는 주요 증상

치료 전 필독!

고양이 심근질환의 진단에서
proBNP와 TnI의 중요성

NT-proBNP

NT-proBNP는 심장의 근육세포가 과도하게 늘어나거나 압력을 받을 때 분비되는 물질로, 심근의 부담이 클수록 혈중 농도가 증가하게 됩니다.

무증상이 고양이에서 조기 스크리닝 검사에 많이 활용되고 있으며, 호흡곤란과 같은 증상이 있을 경우 심장 질환과 호흡기 질환 감별에 유용하게 사용되고 있습니다. 해당 검사가 심장 질환의 유무를 완전하게 알려주는 것은 아니기 때문에 심장 초음파 적용이 어려운 환자에서 치료의 가이드라인으로 활용되거나, 치료 과정 중의 치료 반응을 확인하기 위한 심장의 부하를 평가하기 위해 되는 경우가 많으며, 수치가 정상범위를 상회하여 측정될 경우 확진과 치료 반응 확인을 위한 영상 진단이 필수적입니다.


Troponi I(TnI)

Troponi I(TnI)는 심장 근육이 손상될 때 혈중 농도가 증가하는 단백질로, 심근 손상의 정도와 밀접하게 연관되어 있는 지표입니다.
심장질환이 진단되는 환자에서 TnI 수치가 높을수록 심근 손상이 심하다는 추정할 수 있으며, 예후가 불량할 수 있음을 암시하는 수치로 참고할 수 있습니다. 심근 손상이 동반된 급성기(혈전색전증)에서는 TnI 지표가 예후 예측에 도움됩니다. HCM, RCM 등 심근질환에서 TnI 지표가 상승되어 측정되며, 심근 손상이 진행 중임을 의미하며, 무증상기에는 NT proBNP는 정상이고 TnI만 상승하는 경우도 있습니다. 다만 두 지표 모두 상호 보완적으로 사용되며, 진단되는 시점에 따른 변동성과, 심장 질환 외의 비심장성 질환의 영향(NT proBNP의 경우 신장기능이 저하된 경우에 상승할 수 있으며, TnI지표의 경우 패혈증, 신부전, 중증의 전신질환등에서 상승 할 수 있는 것으로 알려져 있습니다)에 의한 상승 가능성도 있으며, 영상진단(방사선 검사, 심장초음파 검사 등)과 함께 해석하여 진단의 정확도와 임상적 의사 결정에 활용되는 지표들로 해당 지표의 수치들이 절대적인 의미를 가지지는 않습니다. 


수원 스카이동물메디컬센터의

다학제적 치료방향


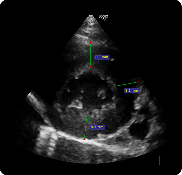
영상 진단

방사선과 초음파로 심장의 형태와 기능을
정확히 확인합니다.

영상 진단

일반적으로 심근질환의 진단은 혈액검사를 통한 평가와 흉부방사선검사 심장초음파 검사를 통해 평가를 하게 됩니다.
형태 평가를 위한 방사선 검사 및 심장 초음파 검사가 중요합니다. 

치료방법

치료방법

내과적 치료

고양이 심장 질환에서 문제가 되는 혈전색전증의 위험성, 폐수종, 흉수 복수 등에 대한 고려가 중요합니다. 임상적인 단계에 따라 강아지 심장질환과 같이 A, Stage B1, B2, C, D 단계로 분류하여 치료 원칙을 설정하게 됩니다.

고양이에서 심근질환의 치료는 강아지에서 판막 질환의 치료와 마찬가지로 진행을 막을 수는 없으나, 이차적인 임상 증상 발생을 지연시키고, 위험한 합병증(CHF, 혈전증)의 발생을 유보시키는데 치료 목표를 두고 있습니다. 따라서 임상적 상태에 따라 수의사의 처방이 조절되는 질환입니다.


외과적 치료

고양이 심근질환에 대한 수술적 치료 방법은 현재까지 아직 없습니다.


고양이 심근질환 단계별 치료

고양이 심근질환의 질환의 형태에 따라 임상 단계에 따라 다양하지만,
전반적으로 아래와 같은 원칙과 접근이 적용 됩니다.


1 단계

무증상 단계에서 proBNP 상승과 심실 벽(심근)의 두께 증가만 확인되고, 좌심방의 확장 등 위험 인자가 없는 경우 6~12개월 단위의 심장초음파 검사가 권장되게 됩니다.

이러한 기간에 대한 설정은 심실벽의 두께 증가의 정도 또는 관련성 있는 다른 초음파 소견 등에 따라 3개월 이하로 단축될 수 있으며, 이는 환자의 검사에 대한 스트레스 정도까지 고려한 수의사의 판단이 필요합니다.


2 단계

무증상 단계이나, 좌심방 확장이 두드러지거나, 좌심방에 혈류 정체가 확인되는 등 혈전증 발생가능성이 높은 경우 예방적인 항응고제 투여를 통해 혈전증 발생을 예방하는데 치료의 초점이 맞춰지게 됩니다.

일부 고위험군 환자등에서는 심장 보조약물 등의 처방을 시작하기도 합니다. 


3 단계

증상이 발생한 단계로, 심근 질환이 진행되면 호흡기 관련 증상 혹은 혈전에 의한 후지 마비 증상 등이 나타날 수 있습니다.

일반적으로 호흡기 증상의 경우 심장의 부하로 인해 발생한 폐수종이 원인인 경우가 많으며, 이경우 즉각적인 응급 치료가 중요합니다. 이뇨제를 통해 폐수종과 같은 심부전 증상을 완화 시키고, 혈전 예방 약물을 투약하거나, 혈압 조절을 위한 약물 등을 투약하게 됩니다. 또한 산소 처치를 통해 호흡을 원활하게 진행해주는 것이 중요합니다. 이러한 급성기를 지나 폐수종이 개선되고, 호흡이 안정된다면 이후로 내복약 복용 등의 일반 관리로 전환하게 됩니다. 


이 외에도 알면 좋은 증상

후지 마비 증상은 혈전에 의한 후지 마비 증상이 발행할 수 있으며, 후지를 끌고 다니며 못 쓰거나, 말단부가 창백하거나 청색증(파랗게 보임)등이 발생할 수 있습니다. 뒷다리를 만지면 심한 통증을 느끼고 불편해하거나 소리를 내기도 합니다.

병원에 응급으로 내원할 경우 통증 관리를 위한 진통제 처방 및 항혈전제를 투약하여 추가적인 혈전 발생을 예방하게 되고, 이외에 발생한 폐수종, 심부전 등의 관리에 초점을 맞추게 됩니다. 이러한 혈전 발생 후에는 재관류가 되더라도 허혈성 손상에 의한 조직 괴사, 재관류에 의한 전신 쇼크 발생 등 예후가 불량할 가능성이 매우 높기 때문에 혈전에 대해서는 예방이 최우선으로 권장됩니다.

mobile background

보호자께 드리는 중요한 말씀!


고양이 심근질환,
단계별 치료가 중요합니다!


고양이 심근질환은 초기에는 특별한 증상이 없이 조용히 진행되는 경우가 많아, 보호자분께서도 쉽게 알아차리기 어렵습니다.
강아지의 심장 질환과 비교해도 중간 연령 이하의 어린 고양이에서도 발생할 수 있는 만큼, 다양한 연령에서 주의가 필요합니다.

혈액검사나 심장초음파 등 정기적인 검진을 통해 조기 진단이 가능하지만, 만약 조기 진단이 이루어지지 못하면 증상이 나타나는 단계에 이르렀을 때 예후가 매우 좋지 않을 수 있습니다. 특히 혈전증이 동반된 경우에는 예후가 더욱 나빠질 위험이 높아집니다.

반대로, 조기에 진단하고 적절하게 관리하면 임상 증상의 발생을 늦추고, 위험성을 지연시킬 수 있습니다.
고양이 심근 질환은 증상이 나타나기 전에 미리 예방적 검진과 관리가 매우 중요한 질환임을 꼭 기억해 주세요!

스카이동물메디컬센터

수원점이 특별한 이유 


24시간 진료 / 응급 수술

대표전화 031-895-5775